天然の歯のように違和感なく
美しい歯を再現

インプラントは、歯を失ってしまった部分の顎の骨に人工の歯根を入れて、それを支柱に人工の歯を取付ける治療です。顎の骨にしっかり固定するので、固いものも違和感なく噛むことができます。他の歯にも負担をかけることなく、見た目にも美しく自然な仕上がりになります。
反面、インプラントは手術が必要になり、インプラントと骨が結合するまでに約2ヶ月~4ヶ月ほどかかり、保険外治療(自費治療)となるので、ブリッジ治療や入れ歯にくらべ費用が高くなります。また顎の骨の状態などによっては、インプラントができない場合もあります。
こんな方におすすめです
- 自然な見た目にしたい
- 固い食べ物もしっかり噛みたい
- 入れ歯が合わない・手入れが面倒
- 残っている歯を大切にしたい
- ブリッジができる状態ではない
インプラントの特徴
-
噛む力
天然の歯と同様に噛むことが可能です
-
違和感
ほとんど違和感はありません
-
審美性
天然の歯のような仕上がりになります
-
他の歯への影響
他の歯に影響を与えることなく治療が可能です
-
手術
外科手術の必要があります
-
耐久性
10年以上(定期的なメンテナンスが必要です)
-
治療期間
3ヶ月~6ヶ月ほど
-
治療回数
4回~5回ほど
-
保険
保険外診療
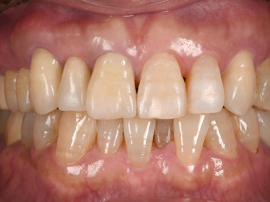
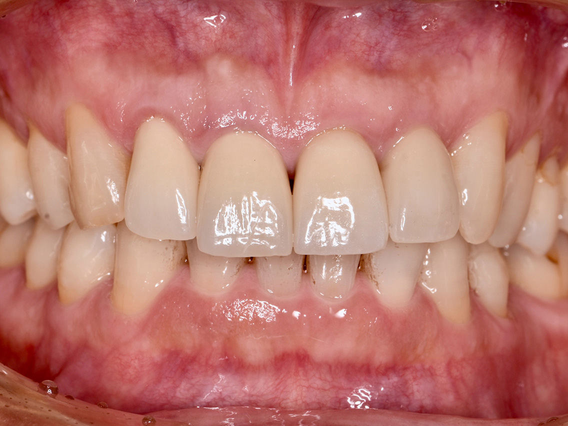
インプラントの症例01
-
- 患者様
- 63歳/男性
- 治療内容
- 上顎前歯に1本インプラント
- 費用
- 583.000円
- 来院理由
- 口の中の金属を全てセラミックで治したい。特に上の前歯のブリッジをインプラント治療できれいにしたい。
- 施術の副作用
(リスク) - 後に軽度の腫れは出ますが、4日程度で回復すると思います。
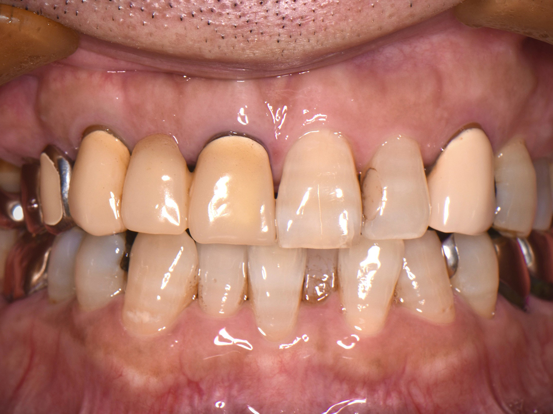
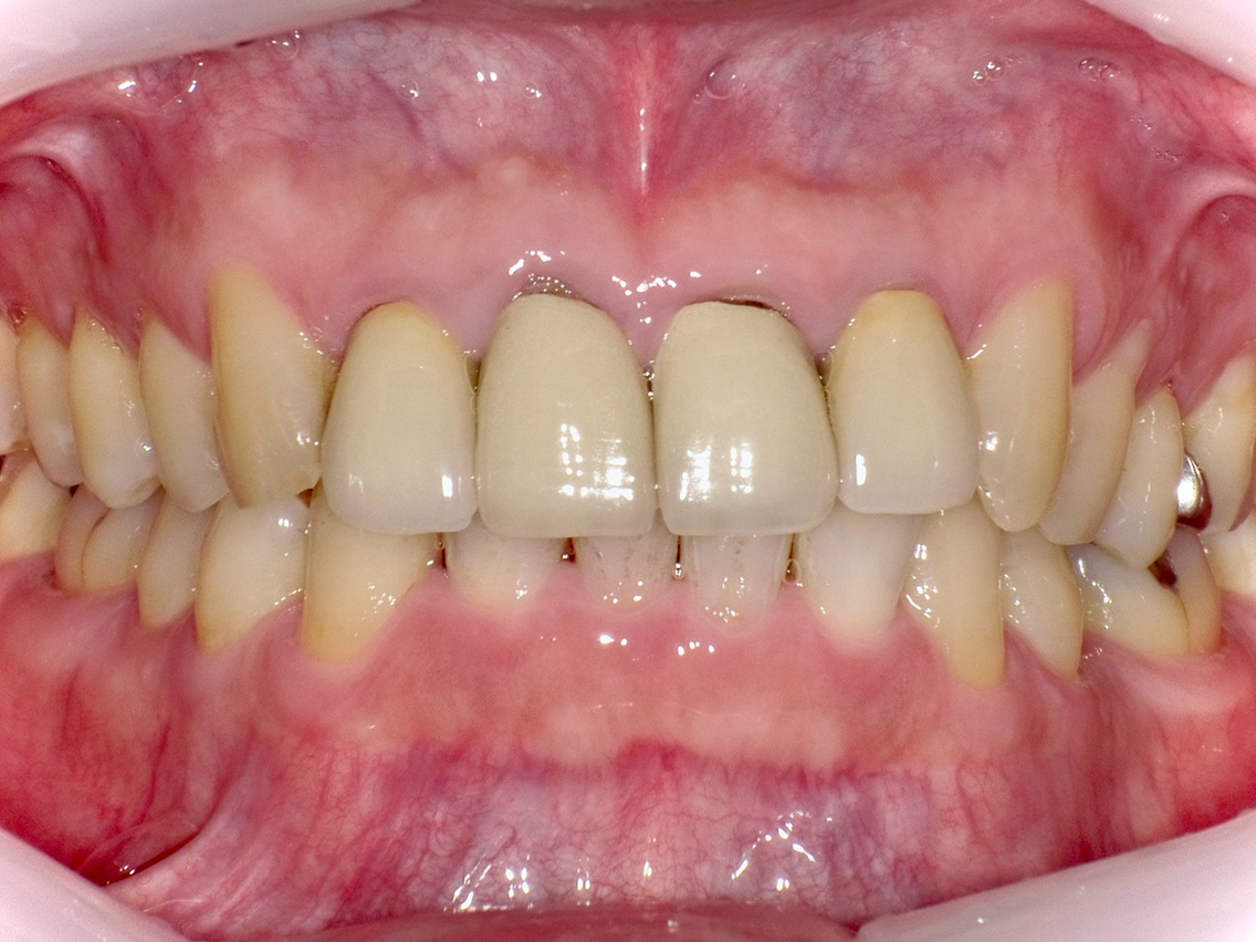
インプラントの症例02
-
- 患者様
- 62歳/男性
- 治療内容
- 上顎前歯部左上2のインプラント治療
- 費用
- 583.000円
- 来院理由
- 上の前歯が揺れて気になる。折れてないかみてほしい。
- 施術の副作用
(リスク) - 4日ほど腫れることはあるが、その後改善される。
インプラントの
リスクと副作用
- 神経圧迫や損傷の可能性がある
- インプラントは顎の骨にインプラント体を埋め込む治療のため、骨の中の神経に損傷があった場合やインプラントが神経の近くにあって神経を圧迫してしまうと、口周りや舌の感覚の麻痺、ピリピリとした痺れが生じる可能性があります。万が一麻痺などの症状が出た場合は、ATP、ビタミンB12、ステロイドなどの投薬で改善を図りますが、それでも改善が見られない場合はインプラントの撤去が考えられます。
- 血管損傷の可能性がある
- 顎の中の神経のすぐ近くに太い血管が通っていることが多く、血管を損傷する可能性があります。
- 腫れや痛みが出ることがある
- 術後の副作用として術部の腫れや痛みが出る場合があります。軽度の腫れや痛みは1~2週間で治まることが多く、当院では痛み止めや抗生物質をお出しします。
- オーバーヒートによる骨壊死の可能性がある
- ドリルで骨を削る際に骨とドリルの摩擦熱によるオーバーヒートで骨壊死が起こる可能性があります。オーバーヒートが起こらないよう水を注水しながら治療をしますが、お口の中の状態によっては水を使わずに治療を行うことがあり、その際はオーバーヒートのリスクが高まります。オーバーヒートによる骨壊死では痛み、腫れ、熱感といった症状が出たり、インプラントと骨が上手く結合しなくなることもあります。
- インプラント歯周炎にかかる可能性がある
- 手術後にお口の中の状態が悪いと、インプラント周囲炎などの感染症にかかる可能性があります。インプラントそのものは虫歯や歯周病にはなりませんが、歯磨きなどのケア不足により歯茎が腫れたりインプラントを支えている歯槽骨が溶けてしまうため、最悪の場合はインプラントが脱落してしまいます。定期的なメンテナンスや毎日のセルフケアでお口の中を清潔に保つことが重要です。
- 副鼻腔炎・蓄膿症になる可能性がある
- 上顎の骨の中にある上顎洞という空洞にインプラントが達してしまうと、感染を起こして副鼻腔炎や蓄膿症になることがあります。
- 麻酔による副作用の可能性がある
- 麻酔での一般的な副作用ではアドレナリンによる血圧上昇や頻脈などがありますが、ごくまれにアナフィラキシーショックの症状が出ることがあります。
インプラントの料金
※料金は税込みです。
費用総額
- インプラント1本あたり
- ¥385,000~¥528,000
内訳
- 診断
- ¥22,000
- インプラント1本あたり(口腔内スキャンサージカルガイド作成)
- ¥55,000
- 一次オペ 基本手術(インプラントオペ、診断料、パノラマ撮影、CT撮影込み)
- ¥275,000
オプション
- 骨造成術
- ¥110,000
- 上顎洞挙上術
- ¥66,000
- 骨幅造成術
- ¥44,000
- 歯肉幅造成術
- ¥55,000
- 人工骨材料
- ¥33,000
- 抜歯即時埋入
- ¥55,000
- ソケットシールド
- ¥55,000
インプラント体上部構造
- ジルコニアオールセラミック(前歯)
- ¥220,000
- ジルコニアオールセラミック(臼歯)
- ¥165,000
- ポンティック
- ¥110,000
上部構造とインプラント体の接続
- カスタムアバットメント
- ¥55,000
※すべて1本あたりの金額です。
最新機器でより安全な
インプラント治療を可能に
インプラント手術の
安全性を高める「Xガイド」
インプラント手術ナビゲーションシステム「X-Guide(エックスガイド)」は、口腔内をCTスキャンし、その3Dデータをもとにインプラントを埋め込む位置や角度、深さをリアルタイムでガイドするシステムです。
これにより骨や神経の位置を正確に把握できるため、従来の手術に比べ精度が高く、より安全で患者さまの負担が少ない手術が可能になりました。
外科手術の負担を
軽減する「サージボーン」
インプラントなどの外科手術による患者様の負担を軽減するための骨切削機器「サージボーン」を導入しています。
「サージボーン」は、微細振動により血管や神経などの組織を傷つけることなく、選択的に骨や歯のみ繊細な切削ができるため、 よりスムーズにインプラント治療を進めることができるようになりました。
品質・安全性の高い
インプラント治療
大久保歯科では、カウンセリングで患者さまの口腔内全体をしっかり把握したうえでインプラント治療をおこなっております。
患者さまに安心して治療を受けていただけるよう最新の設備と厳しい衛生管理のもと、できるだけ負担が少なく安全な治療の提供を心がけておりますので、不安なことなどあればお気軽にご相談ください。
よくあるご質問
- インプラント手術は痛いですか?手術後の腫れが心配です。
- 手術中は局所麻酔をしっかり行うため、痛みを感じることはほとんどありません。術後の痛みや腫れについても、親知らずの抜歯と同じか、それより軽い程度で済むことが一般的です。当院では痛みを最小限に抑えるため、シミュレーションに基づいた低侵襲(体に優しい)な手術を心がけています。
- 他の歯科医院とインプラント治療は何が違うのですか?
- 当院では、歯科用CTで顎の骨の状態を3Dで精密に把握し、コンピュータ上で手術をシミュレーションする「ガイデッドサージェリー」を導入しています。計画通りに安全な位置へインプラントを埋入できるため、人為的なミスを防ぎ、予後の安定性を高めています。
- インプラントは一生持ちますか?寿命はどのくらいですか?
- 適切なメンテナンスを行えば、10〜20年以上、あるいは一生使い続けることも可能です。ただし、インプラント自体の虫歯はありませんが、周囲の歯ぐきが歯周病になる「インプラント周囲炎」には注意が必要です。長持ちさせるためには、ご自宅でのケアとクリニックでの定期検診が欠かせません。
- 持病(糖尿病や高血圧など)があってもインプラントは受けられますか?
- 持病がある場合でも、主治医と連携し、お薬の調整や体調の管理を行うことで治療可能なケースが多くあります。当院では、事前のカウンセリングで全身状態を詳しく伺い、安全に手術が行えるかどうかを慎重に判断いたします。まずは現在のお悩みや不安をお聞かせください。
- インプラント治療は完了までにどのくらいの期間がかかりますか?
- 骨の状態や埋入部位によりますが、一般的には3〜6ヶ月程度の期間が必要です。インプラントが骨としっかり結合するのを待つ時間が必要だからです。その間、ずっと歯がない状態になることはなく、仮歯などで見た目や噛み合わせを補いながら進めることができますのでご安心ください。




